Dentisteria

ESPECIALIDADES > MEDICINA DENTÁRIA > Dentisteria

Dentisteria

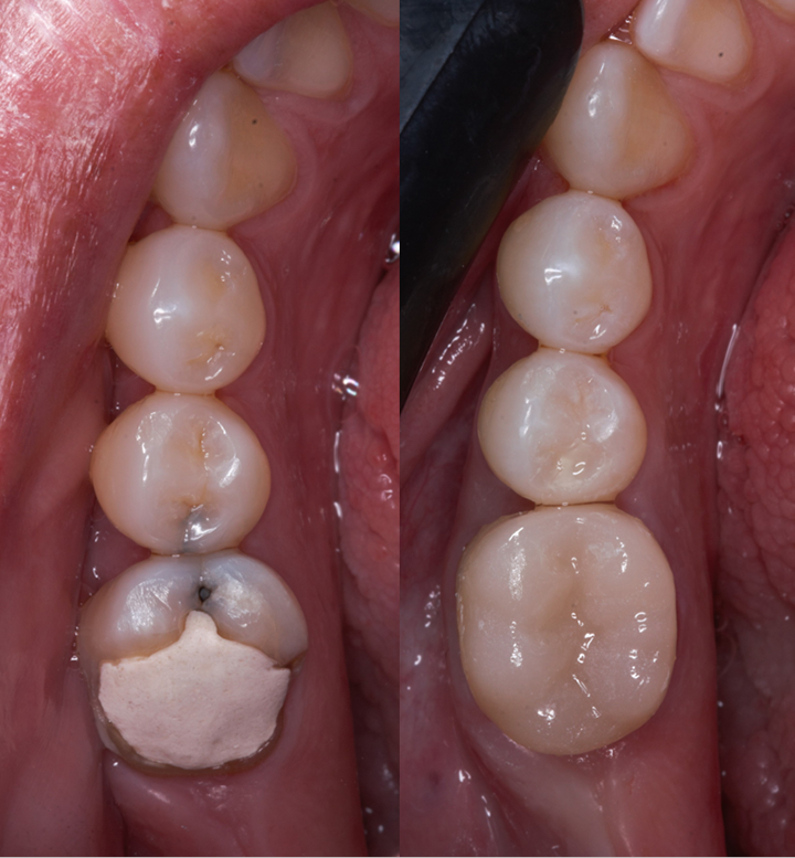
A Dentisteria é a área da Medicina Dentária responsável pelo tratamento de dentes com lesão de cárie, fraturados ou com a necessidade de alteração de cor ou forma.

Em dentes com uma grande destruição e cuja resistência se encontra reduzida está indicado o tratamento com restaurações em cerâmica (overlay/coroa). Estes tipos de restaurações são confecionadas em laboratório e permitem reforçar a estrutura do dente, permitindo uma maior longevidade do mesmo.

Equipa de Dentisteria
Marcar Consulta